검색
메뉴
고정 헤더 영역
글 제목
메뉴
좋아요
-
댓글달기
-
공유하기
메뉴 레이어
메뉴 리스트
홈
태그
방명록
글쓰기
분류 전체보기
(8)
치과진료
(3)
치과위치안내
(0)
검색 레이어
검색 영역
컨텐츠 검색
블로그 내 검색
상세 컨텐츠
본문 제목
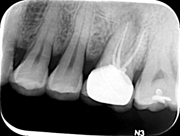
큰어금니는 살리기 어렵다?
카테고리 없음
by
부산사랑니발치원장
2023. 12. 25. 16:53
본문
좋아요
-
댓글달기
0
반응형
치관확장술의 적용사진입니다.
반응형
공유하기
게시글 관리
아무도알려주지않는치과정보
추가 정보
인기글
최신글
티스토리툴바
아무도알려주지않는치과정보
구독하기