실례를 들어서 설명하겠습니다.
이 케이스는 10년이 넘은 케이스입니다.
환자분은 대만족하고 가셨던 케이스네요.


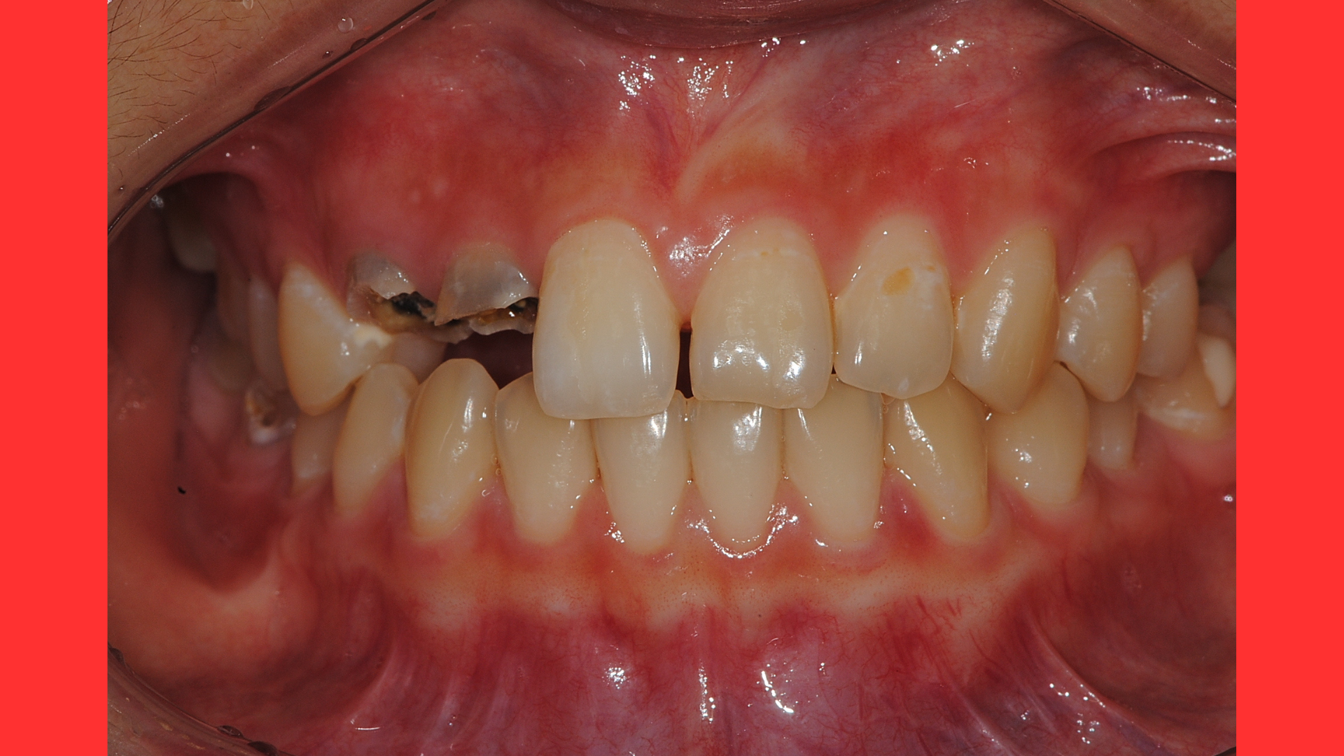
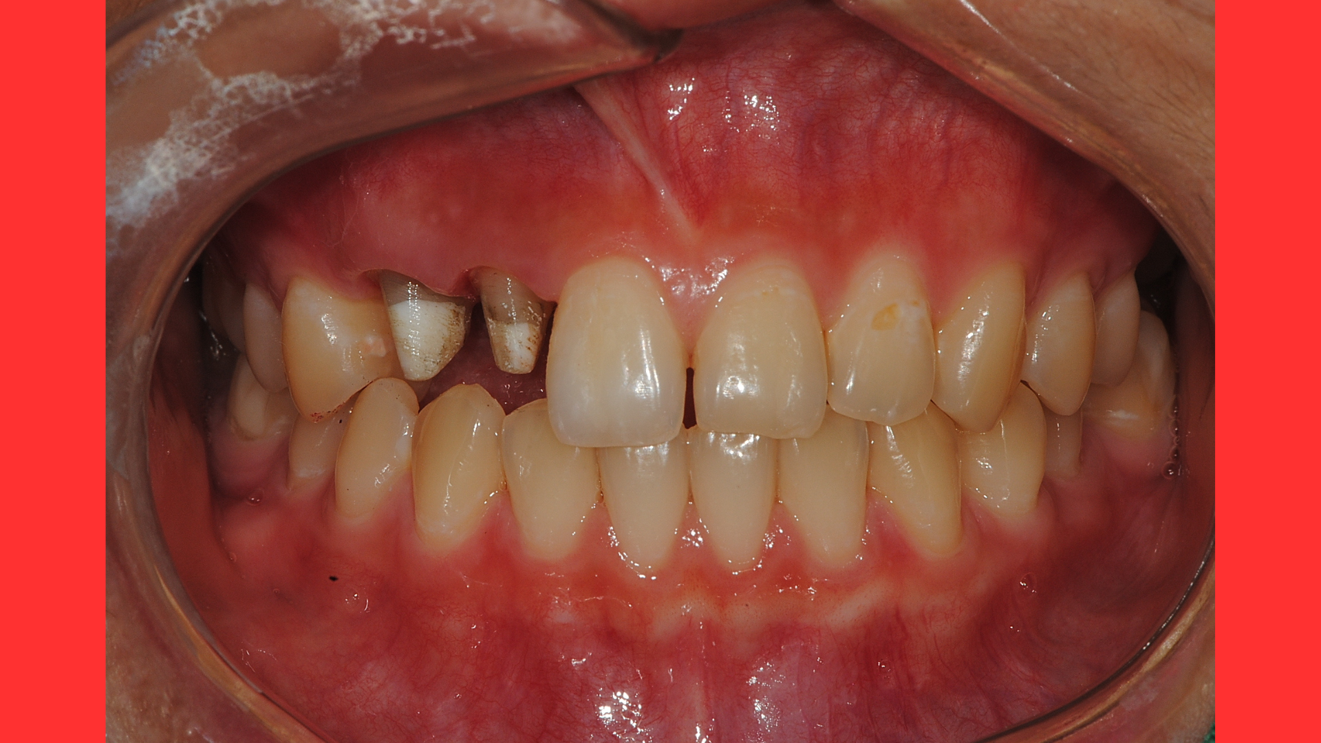
자.. 위사진을 보시죠... 치아2개가 충치가 심합니다.
잘보시면 까만색이 얼마나 깊이까지 있는지 생각을 해보도록 하죠.
잇몸밑까지 까만색이 비춰보이는 걸 알수 있겠죠?
즉 잇몸아래의 치아부분까지 썩은 것입니다.
이걸 뽑아야 할까요 살려야 할까요?
20대 초반의 여성환자분은데 뽑고 임플란트를 해야 할까요?
더군다나 앞니를 뽑는건 신중해야 합니다.
임플란트보철이 심미성을 고려한다면 최선의 선택이 될 수 없기 때문입니다.
가능하면 치아를 살려야 하는 것이 최우선으로 진행이 되어야 하는 부분입니다.
두번째 보이는 부분을 보시면 우리가 볼때 왼쪽과 오른쪽의 충치가 있는 치아의 잇몸높이가 다릅니다.
충치가 깊지만 생물학적 폭경을 확보하면서도 잇몸선을 맞출 수 있는 동시에 할수 있는 수술이 결국은 골삭제를 동반한 치관확장술이 되는 것입니다.
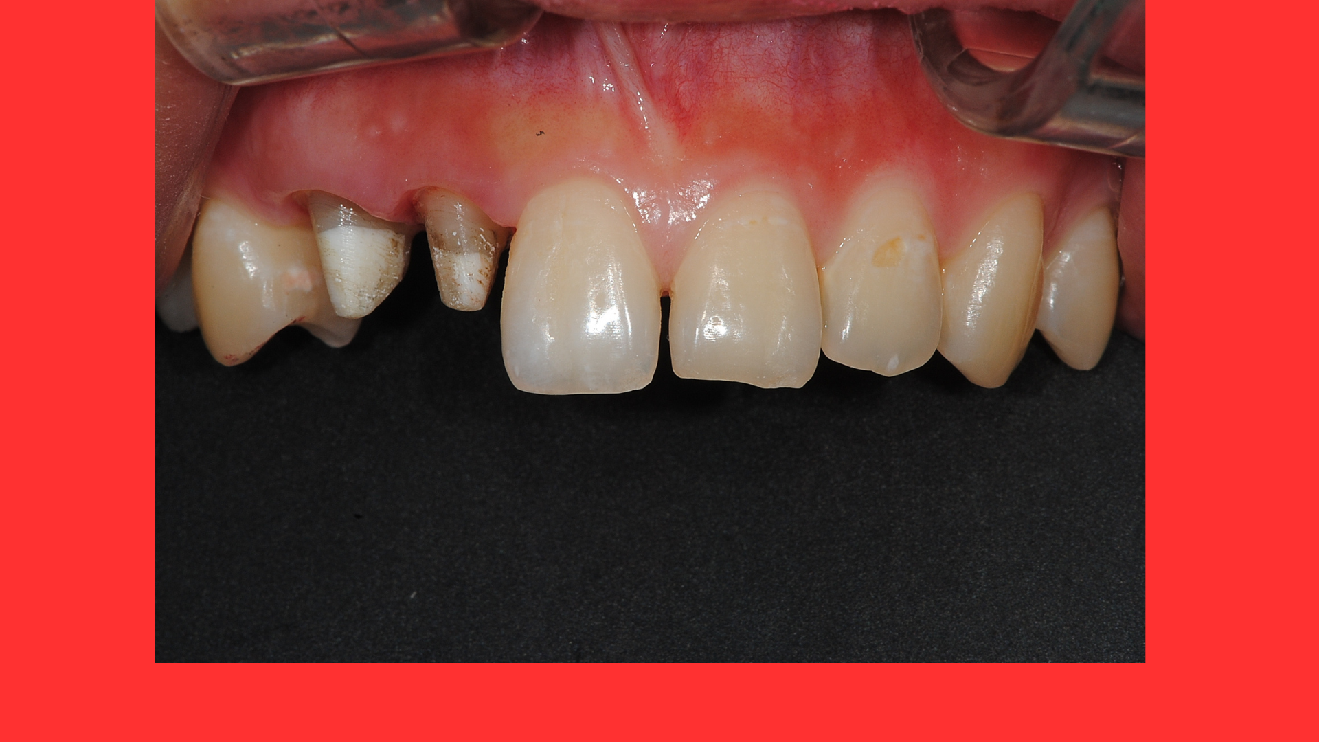
다음 사진은 치관확장술을 진행후 1달뒤의 사진입니다.

자... 흰색부분이 새로 만들어낸 치아를 대신하는 코어입니다.
그아래의 누런 색이 충치를 다 제거하고 남은 건전 치아에 해당합니다.

자... 다른 사진입니다. 잇몸몰딩이 잘 되 있음을 볼수 있습니다.

자... 보철물을 보시죠..
환자분이 대만족 안할 수가 없는 보철물이 잇몸염증없이 조화롭게 유지가 되고 있습니다.

잇몸라인도 좌우 비슷하게 유지됨을 볼수 있습니다.